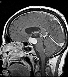
Un adenoma de hipófisis es un crecimiento tumoral anormal originado de las células que constituyen a la glándula hipófisis (glándula pituitaria). Esta glándula es un órgano del tamaño de un chícharo localizado en la base del cerebro por detrás de la parte mas profunda de la cavidad nasal. A la glándula hipófisis se le conoce como la “glandula principal” porque monitorea y regula todas las funciones del cuerpo humano a través de las hormonas que produce.
macroadenoma de hipofisistumor hipofisario cirugia de hipofisis
La gran mayoría de los adenomas de hipófisis son crecimientos benignos y no cancerosos. Estos pueden ocasionar que la glándula hipófisis produzca una mayor o menor cantidad de sus hormonas, produciendo un espectro variado de síntomas. Cuando estos adenomas de hipófisis son muy grandes, se denominan macroadenomas y ocasionan una compresión sobre las estructuras normales cercanas como los nervios ópticos, los nervios craneales, las arterias carótidas y el mismo tejido cerebral.
¿QUE TAN COMUN SON LOS ADENOMAS DE HIPOFISIS?
Se diagnostican cerca de 10,000 adenomas de hipófisis cada año dentro de nuestro país. Es frecuente que haya un buen número de casos que no se diagnostican oportunamente, esto debido a que estos tumores pueden ser pequeños y no ocasionar síntomas.
El cancer de la glándula hipófisis o carcinoma pituitario, es muy raro, este se diagnostica cuando un adenoma de hipófisis es de comportamiento agresivo y ocasiona metastasis. Existen otros tipos de tumores en la región de la glándula hipófisis, incluyendo craniofaringiomas, teratomas, gliomas, tumores germinales y quistes de la bolsa de Rathke.
¿A QUIEN LE DA UN ADENOMA DE HIPOFISIS?
Los adenomas de hipófisis son mas comunes en mujeres que en hombres, especialmente durante los años fértiles. Pueden ocurrir a cualquier edad pero son más comunes en personas mayores. Corresponden del 9 al 12% de todos los tumores que se originan dentro del cráneo.
No se conoce exactamente que causa la mayoría de los adenomas de hipófisis. Algunas personas heredan mutaciones genéticas específicas que pueden aumentar su riesgo de desarrollar estos tumores, pero la mayoría de las personas que desarrollan un adenoma de hipófisis no tienen una historia familiar de esta enfermedad.
¿CUAL ES EL TRATAMIENTO DE UN ADENOMA DE HIPOFISIS?
macroadenoma de hipofisis tumor hipofisario cirugia de hipofisis
Cuando un adenoma de hipófisis es pequeño, no produce ninguna hormona, no ocasiona disminución de ninguna hormona y no ocasiona compresión sobre ninguna estructura adyacente, se puede tratar por medio de vigilancia estrecha. Esto involucra revisiones médicas periódicas y estudios de imágenes seriados para asegurarse de que el tumor no empiece a causar problemas.
Cuando el adenoma de hipófisis es grande, ocasiona una producción hormonal excesiva, ocasiona disminución de alguna hormona u ocasiona compresión sobre alguna estructura adyacente, es recomendable tratarlo para evitar posibles complicaciones sistémicas y daño neurológico irreversible.
Las opciones de tratamiento para los adenomas de hipófisis son:
-Cirugía
-Radioterapia
-Medicamentos para controlar la producción hormonal
-Combinación de los tratamiento anteriores
En la gran mayoría de los casos, los adenomas de hipófisis se pueden extraer a través de la nariz por medio de una incisión muy pequeña en el fondo de la cavidad nasal y a través de la base del craneo, utilizando instrumental médico especializado. Esto se conoce como cirugía transesfenoidal. En pocas ocasiones puede ser necesario extraer el tumor a través del cráneo por medio de una microcirugía, esto cuando el tumor sea demasiado grande para poder retirarse por la nariz. En algunos casos, es posible tratar el adenoma de hipófisis exclusivamente con tratamiento médico o por medio de alguna variedad de radioterapia.
Dependiendo del tipo especifico de adenoma de hipófisis, así como del estado de salud y preferencias personales de cada paciente se podrá determinar el mejor y más efectivo tratamiento para cada caso.
¿CUALES SON LOS SINTOMAS DE UN ADENOMA DE HIPOFISIS?
tumor en hipofisis macroadenoma de hipofisis tumor hipofisario cirugia de hipofisis adenoma de hipofisis
Los síntomas varian según si el tumor produce un exceso de hormonas, o en su defecto, si disminuye la producción de las mismas. También pueden ser causados por la compresión que el tumor ejerce sobre las estructuras cercanas como lo son los nervios ópticos, los nervios craneales, las arterias carótidas y el cerebro mismo. Algunas personas con adenomas de hipófisis no presentan ningún síntoma.
Algunos síntomas comunes de un adenoma de hipófisis incluyen:
-disminución de la visión
-visión doble
-dolor de cabeza
-nauseas y vómito
-pérdida de peso inexplicable
-alteraciones en el ciclo menstrual
-disfunción sexual o disminución de la líbido
¿COMO SE DIAGNOSTICA UN ADENOMA DE HIPOFISIS?
La sospecha de un adenoma de hipófisis comienza con los síntomas. En algunos casos los adenomas de hipófisis que no causan aun síntomas se identifican en estudios de imagen realizados por otras causas.
Algunos estudios que se pueden utilizar para evaluar la existencia de un adenoma de hipófisis son:
-resonancia magnetica de hipófisis con contraste (estudio de elección)
-tomografía de silla turca con contraste
-campimetría computarizada
-perfil hormonal completo
TUMORES DE HIPOFISIS
Copyright 2013. AGUSTIN DORANTES ARGANDAR. Todos los derechos reservados.
tumor en hipofisis macroadenoma de hipofisis adenoma de hipofisis tumor cerebral tumor de hipofisis neurocirujano tumor hipofisario cirugia de hipofisis tumor cerebral causas sintomas de tumor cerebral adenoma de hipofisis cirugia tumor de hipofisis cirugia transesfenoidal